Replacing Missing Teeth: Case 8
Description
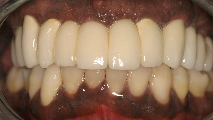
Larry is a busy professional and came to see Dr. Parr to help him make up for years of avoiding dental care. Bad experiences had made Larry uncomfortable with the dentist and reluctant to have treatment but he came to trust Dr. Parr and our office. Larry knew what was best for him and agreed to an ideal plan that would give him permanent teeth that may last him the rest of his life. Everything went very well and Larry can now smile as much as he wants and feel comfortable coming to a dental office that will take care of him.





